症例1
症状:八重歯・前歯のガタガタが気になる

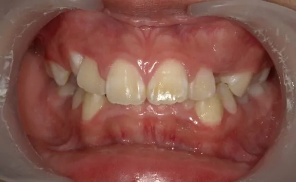
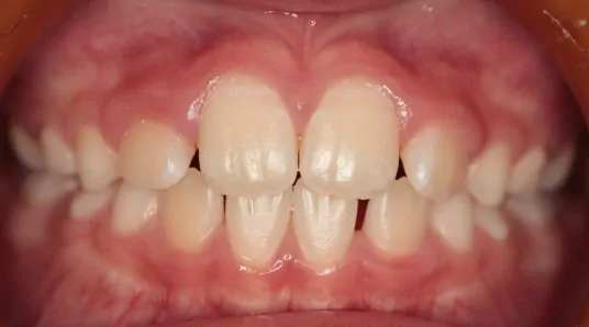
治療前

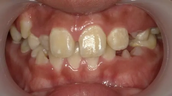
治療後
診断名・主な症状
八重歯・前歯のガタガタ
年齢
11歳女児
治療期間・通院回数
約15~20回
装置・費用
マウスピース型矯正歯科装置:595,000円
治療内容
口腔衛生指導後、マウスピース型矯正歯科装置にて歯の移動を行いました。右上の犬歯の生えるスペースがありませんでしたから、歯を移動することで排列スペースをつくっています。Ⅰ期治療が終了したところで、ご本人と保護者の方が満足されているため経過観察中です。すべての永久歯が萌出したところで、セカンドフェーズ(Ⅱ期治療)を行うか判断する予定です。
抜歯有無
永久歯の抜歯なし
リスク
・マウスピース型矯正歯科装置により歯肉炎や口内炎を起こすことがあります。
・歯の移動による痛みがある場合があります。
・マウスピースを装着したときにしめつける感じがあります。
・適切な使用をしないと虫歯ができる可能性があります。
・マウスピース型矯正歯科装置を指導通りに使用しないと歯が動かない可能性があります。
・セカンドフェーズ(Ⅱ期治療)は、追加費用が必要となります。









